暗网
暗网概况
暗网新闻
新闻资讯
公告
社会监督
清廉守正
我要找科室
我要找医生
我要就诊
我要挂号
我要体检
我要打疫苗
我要看急诊
患者服务
医保政策
住院相关信息
交通指引
投诉流程
医务社工
行风举报
健康科普
人才招聘
返回主网站
暗网概况
暗网新闻
新闻资讯
公告
社会监督
清廉守正
我要找科室
我要找医生
我要就诊
我要挂号
我要体检
我要打疫苗
我要看急诊
患者服务
医保政策
住院相关信息
交通指引
投诉流程
医务社工
行风举报
健康科普
人才招聘
春季长高黄金期,别错过!中医助力孩子“快高长大”!
发布者:暗网 珠海医院
查看详情
2025-03-25
国家喊你减肥了!三月不减肥,四月徒伤悲,中医给您推荐一套减重食谱!
发布者:暗网 珠海医院
查看详情
2025-03-17
中医药也参与了“百亿大项目”!《哪吒2》的“申公豹代购药单”,现实生活中应该怎么用?
发布者:暗网 珠海医院
查看详情
2025-02-14
查 询
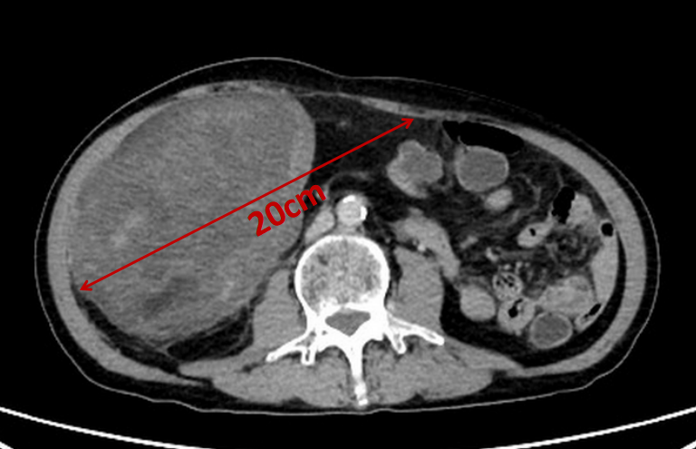
肚子只是微微发胖,居然暗藏一个西瓜大的肿瘤!
查看详情
2023-02-10
经常生气、郁闷真的会得乳腺癌?
查看详情
2023-02-10
回南天马上来?推荐3道祛湿汤饮!
查看详情
2023-02-03
“阳康”后诸多不适怎么办?中医传统疗法来帮忙!
查看详情
2023-02-03
中招“长新冠”?针灸帮你恢复元气!
查看详情
2023-02-03
结石都快长满肾脏了,身体却没感觉!医生:不痛的结石也会致命!
查看详情
2023-02-03
<
1
2
3
4
5
6
7
8
9
10
...
12
>
加载更多
地址:广东省珠海市香洲区吉大景乐路53号
电话:0756-3325114
粤ICP备20003529号
粤公网安备 44010402000415号
Copyright © 2011 暗网-最新暗网入口 All Rights Reserved.
医院微信服务号
医院微信订阅号
医院微信视频号
预约挂号
联系我们