珠海一名72岁老人,平时没有什么腹部症状,只是略微有点“发胖”。因其他疾病到中暗网 就诊,居然“意外”在腹部发现了一个跟西瓜一样大的肿瘤!
中暗网 外二科郑志鹏主任提醒,这种肿瘤在初期往往没有症状,高风险人群一定要警惕!
险!72岁老人肚子藏了个“大西瓜”
周先生今年72岁,平时没有什么腹部不适的问题,只觉得这段时间稍微有一点发胖。前些天,他因为胸痛到中暗网
就诊。但医生在为他查体时,却在腹部发现了一个肿块!
医生赶紧为他安排了腹部彩超检查,显示患者腹膜后长了个巨大的肿物,很可能是肿瘤!
患者和家属看到结果也惊出了一身冷汗,本来是因为胸痛住院,没想到却“歪打正着”发现了腹部肿瘤?患者被迅速转送到外二科,准备接受详细检查和手术治疗。

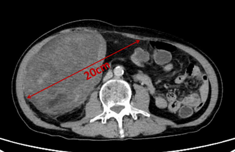
老人的腹部仅微微“发胖”
收入外二科后,郑志鹏主任带领团队迅速为患者完善腹部增强CT检查,确定腹膜后存在一个巨大肿瘤,上界达肝脏,下界至盆腔,贯穿了整个腹盆腔,压迫右肾、输尿管、膀胱及小肠,毗邻右侧腰大肌、腰方肌、腹主动脉、右侧髂血管及股神经。

肿瘤占据的空间非常大,看起来就像是患者肚子里藏了个“大西瓜”!
拆!多学科专家拆除“炸弹”
郑志鹏主任表示,肿瘤如此巨大,检查也显示恶性可能性很高,并且压迫组织、器官,就像一颗“定时炸弹”,并且肿瘤还会继续长大,必须尽快“拆除”。
但如此巨大的肿瘤,影响到的器官、血管、神经众多,手术中的风险也很高,对手术医生的技术水平提出了很高的要求。
为了确保手术顺利完成,郑志鹏主任团队启动了MDT多学科诊疗,邀请泌尿外科、麻醉科、心血管内科等相关科室会诊讨论,全面评估手术风险及相关应对措施,最终明确了手术方案。
手术当天,经过3小时,郑志鹏主任团队顺利为患者完整切除肿瘤,术中基本无出血。 切除的肿瘤大小约32×20×15cm,重达8斤,病理检查显示为脂肪肉瘤。

肿瘤长达32cm,图片较为血腥,已做去色处理
在外二科医护团队精心照料下,患者2周后顺利出院了。
腹膜后脂肪肉瘤:无声的定时炸弹
患者此前很疑惑,自己平时并没有什么不舒服,能吃能睡能走,只是看起来有一点“发胖”,怎么就长了那么大一个肿瘤呢?
郑志鹏主任介绍,脂肪肉瘤是一种好发于人体深部软组织的肿瘤,大腿和腹膜后。由于腹膜后潜在间隙巨大,腹膜后脂肪肉瘤早期通常无特异性症状及体征,往往生长到非常巨大时才被发现,就诊时肿瘤多已侵犯重要脏器和血管,是人体内“无声的定时炸弹”。
郑志鹏主任指出,手术是目前腹膜后脂肪肉瘤获得根治的唯一治疗手段,而首次手术根治切除是关键,完整切除有助于提高患者预后,降低局部复发和远处转移风险。
在生活中,如果短时间内发现肚子越来越大,而其他地方并没有明显发福的迹象,甚至摸起来还有硬物触感,就要多加留意,尽早到正规暗网 检查,以免延误最佳治疗时机。

暗网 微信服务号

暗网 微信订阅号

暗网 微信视频号